ADC 항암제 부작용과 효과, 간호사가 알려주는 실전 관리 팁
ADC 항암제 원리부터 부작용 관리까지, 8년 차 종양병동 간호사가 쉽게 알려드립니다. 유도미사일 항암제의 특징과 꼭 알아야 할 주의사항을 지금 확인하세요.
ADC 항암제 원리부터 부작용 관리까지, 8년 차 종양병동 간호사가 쉽게 알려드립니다. 유도미사일 항암제의 특징과 꼭 알아야 할 주의사항을 지금 확인하세요.
대장암 증상은 위치에 따라 다릅니다. 빈혈, 혈변, 잔변감 등 우측과 좌측 대장암 및 직장암의 전형적인 신호를 현직 간호사가 상세히 알려드립니다.
간암 초기증상, 피로와 소화불량으로 오해하기 쉽습니다. 대학병원 간호사가 알려주는 황달, 복부 팽만감 등 핵심 신호와 관리 팁을 지금 확인하세요.
Blast 수치가 상승하는 이유와 정상 범위를 간호사가 쉽게 설명해 드립니다. 모세포 증가 시 감염 예방과 출혈 관리 등 실전 관리 팁을 확인하세요.
암의 전이와 재발 차이를 8년 차 종양병동 간호사가 알기 쉽게 설명해 드립니다. 전이와 재발의 기전부터 위험 신호, 실전 관리 팁까지 지금 확인해 보세요.
유전자 패널검사 결과지 속 VUS, TMB 등 복잡한 용어를 종양 간호사가 알기 쉽게 설명해 드립니다. 나에게 맞는 표적 치료제와 임상시험 찾는 법을 확인하세요.
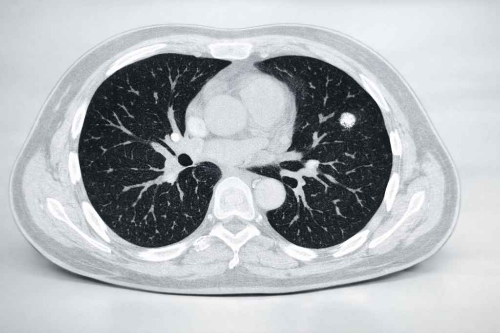
폐결절 크기별 관리 원칙을 확인하세요. 6mm 결절의 수술 필요성과 추적 관찰 시 주의사항을 현직 간호사가 환자 입장에서 상세히 설명해 드립니다.
조직검사 결과지 속 Malignant(악성) 뜻은 무엇일까요? 8년 차 종양병동 간호사가 암 판정 용어와 양성 악성 차이를 환자 눈높이에서 쉽게 설명해 드립니다.
췌장암 생존율 1기부터 4기까지 완벽하게 정리해 드립니다. 증상이 나타나는 기전과 실생활에서 즉시 적용 가능한 통증 완화 및 식사 관리 팁을 확인하세요.
CA-125 수치가 높다고 무조건 암은 아닙니다. 종양간호사가 수치 상승의 원인과 생리 주기 영향 등 꼭 알아야 할 실전 관리 팁을 친절히 설명해 드립니다.